Embolización endovascular en hemorragia intraparenquimatosa temporo-occipital por fístula arteriovenosa pial: reporte de caso
Endovascular embolization in temporo-occipital intraparenchymal hemo-rrhage due to pial arteriovenous fistula: a
case report
Angely Palacios, Milton Yunga, Andrés Mercado, David Abril
1 Universidad Católica de Cuenca, Cuenca,
Ecuador.
a Estudiante de pregrado de Medicina.
b Médico cirujano. Especialista
en Cirugía
General.
c Médico cirujano, Especialista
en Ginecología
y Obstetricia. Especialista en Epidemiología y Salud Pública.
d Estudiante de pregrado de Medicina.
Recibido: 31-10-2022
Aceptado: 04-01-2023
Publicado: 19-01-2023
Las malformaciones arteriovenosas cerebrales son una patología infrecuente, de las cuales las malformaciones fistulosas son las menos comunes.
El manejo clínico quirúrgico no está totalmente definido, por lo que analizar
la eficacia de la embolización en estos pacientes
constituye un aporte científico importante para la sociedad. Paciente masculino de 28 años, con
cefalea de 10/10
en escala visual analógica
del dolor. Se le realizan estudios
de imagen y se evidencia una hemorragia intraparenquimatosa; la angiotomografía
computarizada revela ruptura de malformación arteriovenosa cerebral en la
región temporo- occipital dependiente de la arteria
cerebral media; se realiza una embolización
endovascular
compleja, con resultados favorables en su evolución. En conclusión,
la embolización como tratamiento de malformación arteriovenosa temporo-
occipital hemorrágica es una alternativa viable en pacientes en estadio IV en escala de Spetzler.
Palabras clave: embolización terapéutica; fistula
arteriovenosa; malformaciones arteriovenosas intracraneales; reporte de caso (Fuente: DeCS
- BIREME).
Cerebral arteriovenous
malformations are an infrequent pathology, of which fistulous malformations are
the least common. Surgical clinical management is not fully defined, so
analyzing the efficacy of embolization in these patients is an important scientific
contribution to society. A 28-year-old male patient with headache of 10/10 on
the visual analog pain scale. Imaging studies
were performed and showed intraparenchymal hemorrhage; computed tomography angiography revealed a
ruptured cerebral arteriovenous malformation in the temporo-occipital region
dependent on the middle cerebral artery; complex endovascular embolization was performed, with
favorable results in his evolution. In conclusion, embolization
as a treatment for hemorrhagic temporo-occipital arteriovenous malformation is a viable
alternative in patients with stage IV on the Spetzler scale.
Keywords: therapeutic embolization; arteriovenous
fistula; intracranial arteriovenous malformations; case report (Source: MeSH -
NLM).
Las
malformaciones arteriovenosas cerebrales (MAV)
son una condición rara que se presenta en 1 de cada
100 000 casos a nivel mundial
(1); estas constituyen una presentación anómala entre
la unión de una arteria
y una vena que convergen en un nido vascularizado (2,3). La incidencia de esta patología no está verdaderamente definida, puesto que los
casos reportados únicamente son los tratados en estadios graves
o encontrados en estudios de imagen accidental (2).
Los pacientes con MAV hemorrágica espontanea intracraneal primaria tienen una letalidad del 40 % (4). Estudios demuestran que la embolización en afecciones de área cortical
es cuestionable, debido a que en
estas patologías existe
una desproporción entre
el grosor que presenta
la pared y el tamaño
del vaso, lo que dificulta y aumenta el riesgo de daño a nivel
de áreas motoras, de lenguaje
y visuales (5).
Las fistulas arteriovenosas
cerebrales son una subclasificación de las MAV y representan apenas el 4,7 % de las mismas (6). Debido a que el manejo terapéutico no está totalmente definido, se ha empleado la observación sin intervención del cuadro clínico en algunos
pacientes en donde las fistulas arteriovenosas han presentado cierres espontáneos (7,8).
A pesar que desde el año 2000 se ha implementado
el tratamiento endovascular para pacientes con MAV (9), en Ecuador no existe una guía clínica
quirúrgica para el manejo de esta patología y su diagnóstico representa un obstáculo para
el especialista. La angiografía convencional es el estudio
de imagen de elección; sin embargo, por sus altos
costos en el país
se opta por la tomografía computarizada que no
evalúa volúmenes específicos de sangrado ni
su relación con las arterias
vecinas dificultando su determinación (10).
El caso que se presenta
describe una MAV fistulosa compleja temporo-occipital izquierda dependiente de ramas de arteria cerebral media, tratada con embolización transarterial. La importancia de reportar
el caso radica
en el aporte científico para orientar
en un futuro al manejo
de estos pacientes.
Se reporta el caso clínico de un hombre de 28 años, sin antecedentes personales y patológicos de importancia, quien presenta
cefalea intensa de inicio súbito frontoparietal izquierda de 10/10 en escala de EVA, acompañada de náuseas que no llegan
al vómito, de 1 hora de anterioridad, por lo que decide acudir a Hospital Público
de especialidades ubicado en la ciudad de Cuenca en el que se le realiza
una tomografía de cráneo, evidenciando hemorragia cerebral de causa desconocida. Permanece 4 días en observación en el servicio de cuidados intensivos.
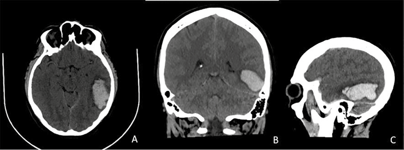
Posteriormente, se realiza tomografía de cráneo simple y se aprecia morfología de cráneo
sin alteraciones, con presencia
de área hiperdensa rodeada de edema pelilesional, localizada en región subcortical que se extiende a la sustancia blanca del lóbulo temporal izquierdo. La lesión mide 5,4 x 2,7 x 2,8 cm con un volumen de 21,3 cc.
En relación con hemorragia intraparenquimatosa, presenta compromiso
en espacio subdural de fosa temporal del mismo lado produciendo un desvió mínimo de estructuras
de la línea media hacia
la derecha en 3 mm. También
se evidencia borramiento de surcos y cisuras en el hemisferio cerebral izquierdo relacionado con el edema
y obliteración parcial
del asta occipital del ventrículo lateral
de lado izquierdo (ver Figura 1).

Figura 1. Tomografía
computarizada de cráneo simple: A) plano axial; B) plano coronal; C) plano sagital

Figura 2. Angiotomografía
computarizada: A) malformación
arteriovenosa dependiente de la circulación de las arterias comunicantes
posteriores; B) nido
vascular de MAV a nivel temporo-occipital
izquierdo
La
angiotomografía computarizada se realizó en cortes axiales
con contraste desde
la base hasta
la convexidad del cráneo. Después de
inyectar contraste se evidenció llenado
adecuado de vasos arteriales y venosos. La circulación anterior
no presenta alteración; sin embargo, en la
circulación posterior se revela hipoplasia de arterias
comunicantes posteriores más ruptura de malformación
arteriovenosa cerebral temporo-occipital con vaso nutricio aislado en
hemisterio cerebral izquierdo (ver Figura 2).
Por limitada capacidad resolutiva, el paciente es referido a hospital de especialidades en la ciudad de Guayaquil, en donde se decide
realizar una desarticulación de malformación arteriovenosa compleja temporo-occipital izquierda dependiente
de ramas de arteria cerebral
media izquierda con drenajes de seno sigmoideo y transverso, mediante embolización transarterial.
Se realiza a los siete días de presentado el cuadro clínico
la desarticulación de malformación arteriovenosa con punción inguinal derecha
con catéter JB2 con guía hidrofilica de 0,035 fr de 150 cm
desde la carótida cervical a la intracraneal y tomando la carótida
externa para observar
afluentes de
malformación. El procedimiento fue realizado
bajo anestesia general
con remifentanilo, propofol, rocuronio 50 mg,
dexmedetomidina 200 ug + ClNa 100 ml a d/r, fenitoina
1gr + ClNa 100 en una hora, efedrina 6 mg, atrofina 0,2 mg y suggmadex 100 mg.
Con los hallazgos mencionados se
procede a introducir catéter guía hasta
la bifurcación de la arteria carótida común izquierda, con
solución heparinizada con
válvula hemostásica, después se asciende con catéter de 5 fr de 115
cm hasta la porción cavernosa de la arteria carótida
interna izquierda con válvula
hemostásica y
heparinizada.
Posteriormente, se utiliza catéter
de 1,2 fr de 15 mm de punta desprendible más
microguía con el cual se navega por
la arteria cerebral media a nivel
de tronco inferior hasta
canalizar de forma
ultraselectiva a vaso afluente
de malformación, con lo cual se llega al nido de la malformación.
Se realiza embolización de MAV con: agente embólico de 18 LD, al cual se le realiza tapón proximal para rellenar
nido de malformación; liquido embolico
de viscosidad de 12 LD con el cual se rellena
malformación; los mismos
líquidos realizan
taponamiento de MAV y afluentes; se desarticula malformación y se procede
a retirar los
catéteres y retirar el introductor.
El postquirúrgico evidencia buen estado neurológico,
el paciente se encontraba
hemodinamicamente estable. Con posterioridad a la recuperación se le realiza examen
físico presentándose orientado en tiempo, espacio y persona, con pupilas isocóricas normoreactivas y un Glasgow de
15/15, con buena mecánica respiratoria, sin uso de oxígeno complementario saturando al 98 % y sin
alteraciones en el resto
del examen.
El paciente
es dado de alta a los tres días de la
intervención en estado orientado, colaborador, respondiendo a todas las
preguntas, estable hemodinamicamente, sin picos
febriles, mecánica ventilatoria normal. La tomografía de control observa mejoría de la hemorragia intracraneal con pronóstico probable de reabsorción, no presentaba focalidad neurológica ni convulsiones. Dentro de las medidas generales se le indica terapia
física dos veces
por día durante los siguientes 3 meses, medidas
antiescaras. En los medicamentos se le prescribe
fenitoina de 100mg por vía oral cada 8 horas durante 7 días, lactulosa
30ml por vía oral cada 12 horas durante 7 días y paracetamol de 1 gramo por vía oral tres veces
al día durante 7 días. Se recomienda dieta blanda más fórmula para nutrición enteral
(Ensure), 1 frasco
por vía oral cada 12 horas durante
10 días.

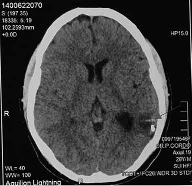
Figura 3. Tomografía multicorte de cráneo posembolización. Se evidencia área
hipodensa en región temporo-occipital izquierda con presencia de calcificaciones
en su interior, acompañada de una ligera retracción del asta posterior del
ventrículo lateral
Se le realiza control
al mes de la embolización y se evidencia reabsorción de 1/3 del
coagulo hemático sin alteraciones en el examen físico y neurológico. A los
tres meses, en la tomografía el paciente presenta reabsorción total de hemorragia intraparenquimatosa causada por MAV; sin embargo, existe presencia de una pequeña área de
encefalomalacia a nivel temporo-occipital izquierdo, que está produciendo la retracción de la asta posterior del ventrículo lateral y presencia de calcificaciones del mismo lado.
No se visualizan hematomas extraaxiales y existe
una adecuada diferenciación entre la sustancia gris y sustancia blanca. Las estructuras del parénquima cerebral, de la fosa posterior y del tronco
del cerebro están conservadas y sin alteraciones (ver Figura 3).
El manejo terapéutico actual de las MAV es multimodal e incluye: la resección quirúrgica, la embolización
endovascular, la radiocirugía estereostática
y la observación (2); sin embargo,
por los altos riesgos que estos conllevan, la comunidad neurológica debate hasta la actualidad cuál
es el mejor tratamiento que proporcione menores riesgos de intervención (2).
Este caso presenta un paciente con malformación
arteriovenosa compleja temporo-occipital izquierda dependiente de ramas de arteria cerebral media
izquierda, grado IV, con un tamaño de: 5,4 x 2,7 x
2,8 cm. Según la clasificación de Spetzler –Martin
la embolización endovenosa y la recesión
quirúrgica es considerada en lesiones < 3 cm (11); sin embargo, se le
realizó la desarticulación de la MAV por embolización, con alto riego de lesión cerebral por la
ubicación de la lesión.
La escala
de Spetzler-Martin es una de las escalas más
utilizadas para predecir el riesgo y beneficio
de las cirugías en MAV. Esta escala establece tres parámetros: el tamaño del nido vascular, las áreas elocuentes adyacentes a la lesión y el drenaje venoso. Pacientes con grado I, II y III son candidatos a cirugía, ya que presentan menos complicaciones de riesgo posquirúrgico; sin embargo, el grado IV y V son
considerados para observación y tratamiento conservador, ya que tienen un riesgo muy alto de déficit neurológico y una elevada
tasa de mortalidad (12).
El riesgo
de ruptura de este tipo de mal formaciones
es del 1,5 %, sin embargo,
el mismo aumenta
en un 10,4 % con posterioridad a las intervenciones parciales, aumentando la mortalidad de estos pacientes hasta en un 22 %. Es por ello que Spetzler
recomienda que las MAV de estos grados
que han sido
descubiertas accidentalmente no sean tratadas (13). En caso de
MAV
de grados IV y V que se presenten con ruptura,
el tratamiento más beneficioso es la embolización más radiocirugía (13).
La radiocirugía no fue considerada en el paciente como alternativa terapéutica, ya que la obliteración
incompleta de la lesión presenta numerosas complicaciones como hemorragia postquirúrgica, quistes de presentación tardía
o convulsiones (14). Esta modalidad de tratamiento depende del nivel de
sangrado y el tamaño de la afección
(14).
De
acuerdo a la bibliografía existente, la vía de embolización más
utilizada es la transarterial, ya que
la vía venosa
puede ocasionar oclusiones prematuras y
hemorragia (15); sin embargo, esta última tiene
mayores beneficios, ya que logra
la obliteración completa
de la MAV y se dirige con mayor facilidad al nidus (15). Al paciente se le practica la cateterización desde
la carótida cervical a nivel proximal hasta la porción intracraneal para
observar afluentes de malformación
sin presentar sangrado ni alteraciones durante la intervención.
De acuerdo a los datos clínicos y estudios realizados sobre
las fstulas arteriovenosas, el tratamiento aplicado al paciente no era el más
indicado ya que como primera medida debía establecerse la observación por el
nivel de gravedad de sangrado; sin embargo, a pesar de los riesgos que
conllevaba la embolización
transarterial, en este paciente fue efectiva, logrando
obliterar la lesión por completo y con un pronóstico favorable a largo plazo.